歯が染みる
Case 01
治療前

治療後

| 主訴 | 歯が染みる |
|---|---|
| 治療期間 | 1回 |
| 治療費 | |
| 治療内容 | 虫歯の治療を行うときは、歯の表面にタンパク質(唾液)が付いてしまったり、吐く息に含まれる水蒸気により術野周囲の湿度が上がってしまうと、その後に詰める材料の接着力が下がってしまうので、当院ではラバーダムというゴムのマスクをします。これにより正確な処置が可能となります。 |
Case 02
治療前

治療後

| 主訴 | 歯が染みる |
|---|---|
| 治療期間 | 来院回数2回 |
| 治療費 | 44,000円 |
| 治療内容 | 虫歯の部分を取り除きセラミックを詰めています。 ほとんどセミラックの部分が分からないくらいにすることが可能です。 |
歯茎が腫れた
Case 01
治療前

治療後

| 主訴 | 歯茎が腫れた |
|---|---|
| 治療期間 | 6ヶ月 |
| 治療費 | 根管治療70,000円、 歯根端切除術150,000円 |
| 治療内容 | 当院で根管治療を行い、その後専門医にて歯根端切除術を行いました。初診時に歯の先にあった大きな黒い影が、術後は感染が取れたことにより骨が出来てきて、無くなっています。 |
インプラント治療
Case 01
治療前

治療後

| 主訴 | |
|---|---|
| 治療期間 | インプラント治療 約6ヶ月 |
| 治療費 | 550,000円 |
| 治療内容 | 左のレントゲンが2019年、右が2023年で4年経過しています。 骨の吸収もなく、健康を維持しています。 |
Case 02
治療前

治療後

| 主訴 | |
|---|---|
| 治療期間 | 約8ヶ月 |
| 治療費 | 550,000円 |
| 治療内容 | 左のレントゲンが2018年、右が2023年です。 5年経過して骨の吸収もなく、順調に健康な状態を保っています。 |
歯のメインテナンス
Case 01
治療前

治療後

| 主訴 | 歯をメインテナンスしたい |
|---|---|
| 治療期間 | メインテナンス期間8年間 |
| 治療費 | 予防メインテナンス16,000円/1回 4ヶ月に1回 8年間 |
| 治療内容 | 右上の歯だけ一度治療しましたが、その他は健康を維持されています。 メインテナンスを行うことで健康を維持することが可能です。 |
Case 02
治療前

治療後

| 主訴 | 歯を綺麗に保ちたい |
|---|---|
| 治療期間 | メインテナンス期間8年間 |
| 治療費 | 予防メインテナンス16,000円/回 4ヶ月に1回 8年間 |
| 治療内容 | 歯を綺麗に保ちたいというご希望から、メインテナンスを継続しています。 |
Case 03
治療前

治療後

| 主訴 | 歯を守りたい |
|---|---|
| 治療期間 | メインテナンス期間8年間 |
| 治療費 | 予防メインテナンス16,000円/回 4ヶ月に1回 8年間 |
| 治療内容 | 8年間メインテナンスを継続されている方です。歯の健康を維持していて素晴らしいです。また虫歯が1本ありますが、まだ治療するべきではないと判断し経過観察していますが、8年間進行がありません。 |
歯がかけた
Case 01



| 主訴 | 歯がかけた |
|---|---|
| 治療期間 | 来院回数3回 |
| 治療費 | 126,500円 |
| 治療内容 | 奥歯のセラミック治療です。 透明度があり、他の歯と比べてもどれが被せ物か分からないくらいの綺麗に仕上げられます。 |
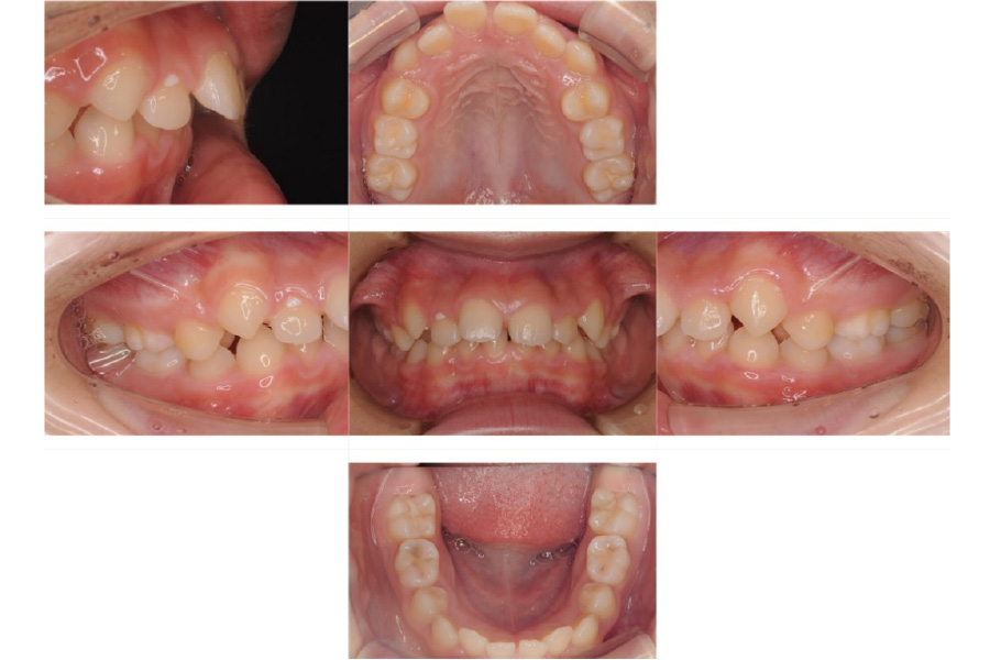
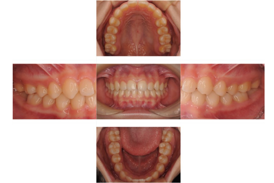
子どもの歯並び
Case 01
治療前(2022年1月)

治療後(2024年12月)

| 主訴 | – |
|---|---|
| 治療期間 | 2年9ヶ月 |
| 治療費 | 522,500円 |
| 治療内容 | マイオブレースによる矯正治療 |